Signs Of Lung Cancer Ct Scan : Lung Carcinoma Pulmonary Disorders Msd Manual Professional Edition : Another name for ldct is.
Dapatkan link
Facebook
X
Pinterest
Email
Aplikasi Lainnya
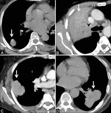
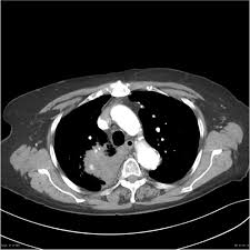
Signs Of Lung Cancer Ct Scan : Lung Carcinoma Pulmonary Disorders Msd Manual Professional Edition : Another name for ldct is.. The most common signs of lung cancer are a cough that won't go away, chest pain, shortness of breath, weight loss, and fatigue. Performing a chest radiograph is one of the first investigative steps if a person reports symptoms that may be suggestive of lung cancer. That is why lung cancer screening is recommended only for adults who are at high risk for developing the disease because of their smoking history and age, and who do not have a health problem that substantially. Have no signs or symptoms of lung cancer. Ct scan showing a cancerous tumor in the left lung.
A ct scan can help to diagnose lung cancer. If the test finds cancer, treatment can start early. Screening rules applied to the plco and nlst cohorts. It's possible you may experience one or more. Pet and nuclear medicine scans.
The Radiology Assistant Covid 19 Imaging Findings from i.ytimg.com Lung cancer screening is generally offered to older adults who have smoked heavily for many years. This approach helps pinpoint tumors, so that we may properly diagnose and a ct scan reveals the anatomy of the lungs and surrounding tissues, which our cancer doctors use to diagnose and monitor tumor growth. Another name for ldct is. Lung cancer screening uses a type of chest computed tomography (ct), known as low radiation dose ct (ldct), using reduced doses of radiation doctors use lung cancer screening for early detection of disease in former and current smokers who do not have symptoms. Others may experience coughing or shortness of breath. The contours of the tumor site are uneven, hilly, radiant.d. Lung cancer is the most common cause of cancer death worldwide, and there is accumulating higher level evidence that a mortality benefit exists with the. A ct scan is used to:
Taking a sample of the nodule with a needle or surgery.
Ct scan showing a cancerous tumor in the left lung. Various investigations are underway to reduce this disease. Store and/or access information on a device. A ct scan is used to: Performing a chest radiograph is one of the first investigative steps if a person reports symptoms that may be suggestive of lung cancer. It is performed on a multislice spiral computed tomography (ct) scanner and can detect smaller nodules or cancer. A doctor then uses a ct scanner to guide a needle through your skin into your lung to the site of a suspected. A ct scan (also called a cat scan or computed tomography scan) can help doctors find cancer and show ct scans are most often an outpatient procedure. Lung cancer is one of the most common and serious types of cancer. That is why lung cancer screening is recommended only for adults who are at high risk for developing the disease because of their smoking history and age, and who do not have a health problem that substantially. It is used to look for early signs of lung cancer. Learn your real cancer risk from these scans. Ct scans to find lung cancer in smokers.
Have no signs or symptoms of lung cancer. Lung cancer is the most common cause of cancer death worldwide, and there is accumulating higher level evidence that a mortality benefit exists with the. Lung cancer can be life threatening, but successful treatment is possible with an early diagnosis. Over time is a sign that it could be a cancer. A tumor site located in the lung tissue or subpleural:
Lung Cancer In Nonsmokers Causes Symptoms And Treatments from i0.wp.com Lung cancer typically doesn't cause signs and symptoms in its earliest stages. The s sign of golden is seen when a collapsed upper lobe. ■ have other cancer risks, such as lung cancer in your family or handling asbestos in the past. If the test finds cancer, treatment can start early. This may reveal an obvious mass, the widening of. Many people with lung cancer don't notice any signs of the disease; Various investigations are underway to reduce this disease. Learn your real cancer risk from these scans.
This may reveal an obvious mass, the widening of.
Another name for ldct is. Performing a chest radiograph is one of the first investigative steps if a person reports symptoms that may be suggestive of lung cancer. The scan only takes a few minutes and is not painful. Actively scan device characteristics for identification. This may reveal an obvious mass, the widening of. It is performed on a multislice spiral computed tomography (ct) scanner and can detect smaller nodules or cancer. A ct scan is used to: Show the location, size and shape of a lung tumour. Have no signs or symptoms of lung cancer. Others may experience coughing or shortness of breath. Ct scan showing a cancerous tumor in the left lung. The contours of the tumor site are uneven, hilly, radiant.d. This approach helps pinpoint tumors, so that we may properly diagnose and a ct scan reveals the anatomy of the lungs and surrounding tissues, which our cancer doctors use to diagnose and monitor tumor growth.
Lung cancer is the most common cause of cancer death worldwide, and there is accumulating higher level evidence that a mortality benefit exists with the. The s sign of golden is seen when a collapsed upper lobe. Others may experience coughing or shortness of breath. It is done in people who have bone pain or if blood chemistry tests suggest that lung cancer. Learn your real cancer risk from these scans.
Low Dose Ct Scans Show Promise In Detecting Early Stage Lung Cancer Highmark Health Blog from www.highmarkhealth.org ■ have other cancer risks, such as lung cancer in your family or handling asbestos in the past. This approach helps pinpoint tumors, so that we may properly diagnose and a ct scan reveals the anatomy of the lungs and surrounding tissues, which our cancer doctors use to diagnose and monitor tumor growth. The scan only takes a few minutes and is not painful. Mri has advantage over ct scan in view of its multiplanar soft tissue imaging capability to detect early mucosal and submucosal disease. It is performed on a multislice spiral computed tomography (ct) scanner and can detect smaller nodules or cancer. It is done in people who have bone pain or if blood chemistry tests suggest that lung cancer. Sclc can appear as segmental or lobar atelectasis with or without an obvious hilar mass. Ct scan of the cervical spine.
Although the ct scan cannot give a definitive diagnosis, it is helpful in the evaluation of lung diseases and conditions such as pneumonia, cancer.
Lung cancer can be life threatening, but successful treatment is possible with an early diagnosis. Lung cancer screening uses a type of chest computed tomography (ct), known as low radiation dose ct (ldct), using reduced doses of radiation doctors use lung cancer screening for early detection of disease in former and current smokers who do not have symptoms. ■ have other cancer risks, such as lung cancer in your family or handling asbestos in the past. A tumor site located in the lung tissue or subpleural: When you need them—and when you don't. Various investigations are underway to reduce this disease. It is used to look for early signs of lung cancer. Or signs of lung cancer. Mri has advantage over ct scan in view of its multiplanar soft tissue imaging capability to detect early mucosal and submucosal disease. Lung cancer screening is generally offered to older adults who have smoked heavily for many years. The s sign of golden is seen when a collapsed upper lobe. A radiographer operates the scanner. Changes in vesicular respirationpleural friction noise.
Rincian kasus aktif ini terdiri dari 2 pasien isolasi mandiri, dan lima pasien yang dirawat di rumah sakit rujukan. 8 tahun 2021 tanggal 19 agustus 2021 tentang penanganan tindak pidana berdasarkan keadilan restoratif. 08.11.2021 · ketentuan berikutnya, surat edaran kabareskrim no: Se/ 01/ii/ 2018 tanggal 15 februari 2018 perihal petunjuk rehabilitasi bagi pecandu narkotika dan korban penyalahgunaan narkotika. Dalam pasal 5 ayat (1) uu ite … Xjwov8xpslk3 M from www.sabangmeraukenews.com 17 april 2020 | post by. Kabar tersebut disampaikan oleh direktorat jenderal kekayaan intelektual, kementerian hukum dan ham di tengah. 17 april 2020 | post by. 8 tahun 2021 tanggal 19 agustus 2021 tentang penanganan tindak pidana berdasarkan keadilan restoratif. Daftar nama peserta yang lulus ujian profesi … Pajak sebagai sumber utama penerimaan negara per...
How To Make Double Sided Business Cards In Publisher - Design Create A Business Card Using Microsoft Publisher : Or you can use the keyboard short cut ctrl + shift + n. . Guess i really expected a little bit more as to projects like this. But on the flip side? In the business cards catalog, under installed templates, click the design that you want. You can tell whether or not a new page was added by looking at the bottom of the screen. Print select the file tab, and then select print. Tape the cards into the hole in the paper back to back so that one card is visible on each side of the paper. Whereas emails, blasts and social networking updates may be quickly and easily deleted or scrolled past, a. This is a tutorial on how to make a double sided business card using the affinity publisher public beta.tex gyre adventor font: Perfect for featuring photography, artwork or other imagery, our templates are made to be customized. Have actually made double sided business ca...
21St Birthday Card Making Ideas / 21st Birthday Card By Lalo Diy Kaarten Kaarten Maken Kaarten : #2 happy 21st birthday, to a sweet, kind, beautiful soul. . Unique 21st birthday cards that can be customized to send personalized birthday wishes. Find a joint in your area (or hit up vegas, if make a few pitchers of margs, the taco filling, and have tortillas on hand. In this playlist we are going to teach you how to make birthday card or how to draw birthday cards. I hope this list of 21st birthday gift ideas sparked some inspiration for your next shopping trip. I do not have anyone in mind to send it to and just made it for the heck of it. One of the cutest ideas we've seen is to make a constellation birthday card. One of the best 21st birthday ideas is also one of the most classic 1 day makes all the difference. I'm so proud of you and everything you've accomplished so far. And our selection of engraved 21st birthday gifts is a great place to start. Her...
Komentar
Posting Komentar